Петропавлда дәрігерлер жөндеу жұмыстары кезінде мойнына шеге қадалып қалған ер адамды ажалдан арашалап үлгерді.
Көп бейінді қалалық жедел медициналық жәрдем ауруханасына 51 жасар ер адам құлақ маңындағы жарамен көмекке жүгінген. Ол жөндеу жұмыстары кезінде шегеге арналған пневматикалық құралдың шегесінен жарақат алған.
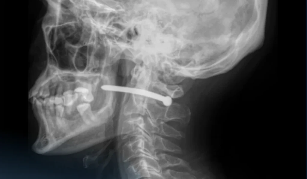
«Рентген-зерттеуден кейін шегенің омыртқаның мойын бөлігінен өткені анықталды. Ер адамның көрер жарығы бар екен – өміріне маңызды органдары зақым алған жоқ», — деп жазды аурухананың баспасөз қызметі.
Жақсүйек-бет хирургтары жарадан шегені алып, қарап, жараны өңдеді. Жара тігіліп, стерильді таңғыш салынғаннан кейін науқасқа ұсыныстар беріліп, үйіне жіберілді.
«Мойын тұзына жарақат алу өте қауіпті – мойынның маңайынан үлкен тамырлар, нервтер, тыныс алу жолдары және жұлын өтеді. Тіпті кішкене ғана зақым алудың салдары ауыр болуы мүмкін», — деп ескертті дәрігерлер.
Еске сала кетейік, жыл басында Павлодардағы мектептердің бірінде мұғалім оқушының арқасына шеге сұғып алған болатын. Оқиға орнына бірден полиция қызметкерлері шақырылды.
Павлодар қалалық білім бөлімінің мәліметінше оқиға №26 орта мектепте тіркелген. Математика пәні мұғалімі тақтада тұрған оқушының жанынан өтіп бара жатып, оны белгісіз затпен нұқып кеткен. Педагогтің әрекеті бейнебақылау камераларына тіркеліп, кейін әлеуметтік желіге тарады.

